如今在现实生活中,不少人的眼皮存在着“一单一双”的现象,这令她们外观看上去多多少少有些别扭,网友小葵正是其中之一。为了解除这份尴尬,小葵选择了埋线双眼皮手术,在手术后,小葵恢复的怎么样呢?
埋线双眼皮改写女子“一单一双”命运
一、术前制定方案(☞点击注册眼部整形修复网网会员,免费定制美丽方案!)


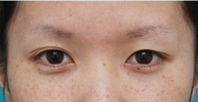
术前医生开始分析小葵的眼部形态。她右眼没有一个明确的“线”,属于如假包换的单眼皮,而左眼的褶子却层层叠叠,形成一个所谓的“三眼皮”,在仔细衡量后,医生决定采用埋线双眼皮。
二、术后一周

在埋线双眼皮手术后,早期眼周有淤斑和青紫现象,2~3天肿胀明显,5~6天则肿胀消失,淤斑渐转为淡黄色。在手术后一个星期,小葵原本显眼的大型肿胀逐渐减退。
三、术后一月

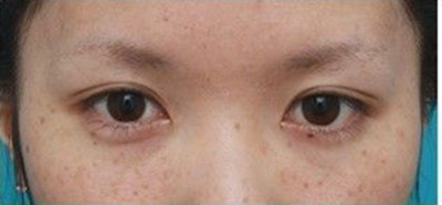
一个月之后,肿胀几乎完全消失,左右眼的眼皮差距不再明显,眼睛即使没有化妆也十分立体。
四、术后化妆(问医生:术后多久才能化妆?)

在埋线双眼皮后小施粉黛,便可以让容貌锦上添花,更加迷人。
五、术前术后对比

手术后,小葵“一单一双”的现象已经得到了有效的改善,双眼变的更加迷人。





